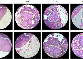
GOOGLE COLABORA CON EL DEPARTAMENTO DE DEFENSA DE EE. UU. PARA DESARROLLAR MICROSCOPIO DE REALIDAD AUMENTADA PARA LA DETECCIÓN DE CÁNCER
Hace algún tiempo, Google emprendió una reestructuración y cancelación de la mayoría de los proyectos asociados ...
Read more
